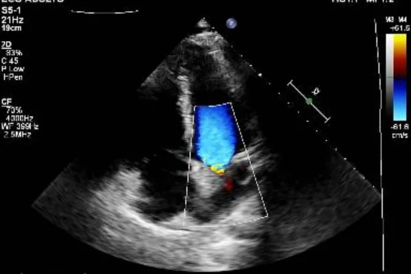
O influenciador Vittor Fernando reapareceu nas redes sociais após sobreviver a uma tentativa de assalto no Rio de Janeiro. Ele contou que foi atingido por dois tiros e que um dos projéteis ficou alojado no coração.
“Nunca vivi dias tão assustadores… Eu vi a morte de perto, bem perto mesmo, com uma bala que entrou perto do meu peito, estilhaçou e foi parar dentro do coração”, publicou.
4 imagens

Fechar modal.![]()

Vittor Fernando compartilha fotos da bala que atingiu seu coração
Reprodução/Instagram @vittorfernando
Vittor Fernando compartilha fotos pela primeira vez após ter carro alvejado no Rio
Reprodução/Instagram @vittorfernando
Vittor Fernando compartilha fotos pela primeira vez após ter carro alvejado no Rio
Reprodução/Instagram @vittorfernando
Vittor Fernando compartilha fotos pela primeira vez após ter carro alvejado no Rio
Reprodução/Instagram @vittorfernando
Vittor estava com o namorado, o ator Gabriel Fuentes, quando o carro em que estavam foi alvo de disparos na madrugada da última sexta-feira (24/10). O influencer aponta que 13 disparos atingiram o automóvel. Em nota, a Polícia Civil mencionou a hipótese de “tentativa de homicídio”.
Leia também
Celebridades
Vittor Fernando fala pela 1ª vez após levar tiro no peito no Rio
Fábia Oliveira
Quem são Vittor Fernando e Gabriel Fuentes, influencers alvejados
Fábia Oliveira
Equipe detalha o que aconteceu com Vittor Fernando e Gabriel Fuentes
Celebridades
Saiba o estado de saúde de Vittor Fernando após tentativa de assalto
Em uma publicação, o influenciador mostrou exames que mostram a presença da bala no coração, além de imagens do veículo alvejado e da cicatriz no peito e na perna, onde também atingido.
Vittor Fernando compartilha fotos pela primeira vez após ter carro alvejado no Rio
Vittor contou que deixará a Unidade de Terapia Intensiva (UTI) uma semana após o ataque. “Eu não acreditava em milagres, mas hoje, com a notícia de que eu vou sair da UTI, definitivamente, eu acredito!”, escreveu.
O influenciador também relatou a dor de ver o companheiro ferido. “A dor de ver o Gabriel sangrando com um tiro no braço… o que eu e Gabriel fizemos pra merecer isso? Nada. Simplesmente paramos o carro, carro esse qUE foi baleado com mais de 13 tiros, dando perda total”, desabafou.

